Ultrassom Transvaginal.

A partir dos 40 anos, a saúde feminina pede um acompanhamento mais atento, estratégico e preventivo. Nessa fase, muitas mulheres passam a buscar no Google termos como prevenção oncológica feminina, exames preventivos femininos, mamografia após os 40, Papanicolau, mamas densas e ultrassom transvaginal, justamente porque percebem que o cuidado com o corpo precisa se tornar mais consistente.
Esse movimento faz sentido. Com o passar dos anos, alguns riscos aumentam, certos sintomas podem surgir de forma silenciosa e o diagnóstico precoce ganha ainda mais importância. Em várias situações, identificar alterações no início pode ampliar as chances de tratamento, reduzir a agressividade das condutas e favorecer um cuidado mais seguro. No Brasil, as diretrizes atuais reforçam a importância do rastreamento organizado do câncer do colo do útero, com incorporação progressiva do teste molecular para DNA-HPV em parte da rede pública.
Este artigo apresenta os principais exames ligados à prevenção oncológica feminina após os 40 anos, explica como eles são realizados, quando costumam ser indicados, quais dúvidas são mais comuns e em quais situações exames complementares podem entrar em cena. Também esclarece um ponto importante: nem todo exame do check-up ginecológico funciona como rastreamento universal para câncer, e entender essa diferença ajuda a mulher a tomar decisões mais conscientes junto ao médico.
🧠 Por que a prevenção oncológica ganha protagonismo após os 40?
Depois dos 40 anos, cresce a procura por informações sobre câncer de mama, câncer do colo do útero, exames de rotina da mulher e check-up feminino completo. Isso acontece porque essa etapa da vida costuma reunir mudanças hormonais, transição para o climatério, histórico reprodutivo acumulado e maior preocupação com longevidade e qualidade de vida.
Além disso, muitos cânceres podem evoluir de forma discreta nas fases iniciais. Por isso, a prevenção oncológica não deve ser vista como exagero, mas como uma estratégia de cuidado. Quanto mais cedo uma alteração relevante é identificada, maior tende a ser a chance de um manejo mais favorável. O Ministério da Saúde ampliou o acesso à mamografia para mulheres de 40 a 49 anos no SUS, em decisão compartilhada com o profissional de saúde, enquanto o rastreamento populacional organizado segue baseado em critérios próprios da política pública.
Segundo o Instituto Nacional de Câncer, quando o câncer é diagnosticado em fase inicial, as chances de tratamento são significativamente maiores, e o impacto físico e emocional é drasticamente reduzido.
🩺 O papel central do ginecologista na saúde preventiva feminina
O ginecologista é o principal profissional no acompanhamento da mulher após os 40 anos. É ele quem integra sintomas, histórico clínico, antecedentes familiares, ciclo menstrual, fase hormonal e necessidade de investigação.
Na prática, esse acompanhamento pode incluir solicitação de exames preventivos, interpretação de laudos, avaliação de sangramentos, dor pélvica e alterações mamárias, identificação de fatores de risco e encaminhamento para outros especialistas quando necessário.
Quando há achados nas mamas, o acompanhamento pode ser compartilhado com o mastologista. Já o oncologista entra principalmente quando existe diagnóstico confirmado ou forte suspeita de doença oncológica.
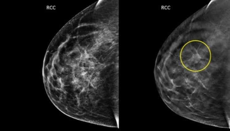
🎀 1. Mamografia: rastreamento do câncer de mama.
📌 O que é a mamografia?
A mamografia é um exame de imagem realizado por meio de um equipamento de raios-X chamado mamógrafo, desenvolvido especificamente para avaliar o tecido mamário.
Ela é considerada o padrão-ouro para o rastreamento do câncer de mama em mulheres assintomáticas.
🔍 Para que serve?
A mamografia é capaz de detectar alterações muito precoces, como:
- Nódulos pequenos
- Assimetria entre as mamas
- Microcalcificações
- Alterações estruturais invisíveis ao toque
Essas lesões, muitas vezes, não são perceptíveis no autoexame nem no exame clínico, reforçando a importância do exame de imagem.
🧪 Como o exame é realizado?
Durante a mamografia:
- A mama é posicionada no aparelho
- O tecido sofre uma compressão leve e rápida
- A compressão dura apenas alguns segundos
- As imagens são captadas com alta definição
Apesar do desconforto momentâneo, o exame é rápido e seguro.
📅 Frequência recomendada após os 40 anos
De acordo com a Sociedade Brasileira de Mastologia:
- Mulheres de risco padrão: mamografia anual a partir dos 40 anos
- Mulheres com histórico familiar (mãe ou irmã): rastreamento pode ser antecipado
Essa recomendação visa detectar tumores ainda em estágio inicial, quando o tratamento é menos agressivo.
🎗️ Mamas densas: um desafio crescente no rastreamento
O termo mamas densas é um dos que mais geram dúvida nos laudos. Muitas mulheres pesquisam: mama densa é perigoso, mamas densas aumentam risco, quem tem mama densa precisa de ultrassom?
A densidade mamária se refere à proporção entre tecido fibroglandular e gordura. Quando a mama tem mais tecido fibroglandular, a leitura da mamografia pode ficar mais difícil, porque tanto esse tecido quanto algumas lesões aparecem claros na imagem.
🧠 Analogia prática
Imagine tentar enxergar uma nuvem branca atrás de uma parede branca.
Esse é o desafio da mamografia em mamas densas.
🧪 Exames complementares quando a mamografia não é suficiente
Diretrizes médicas atuais indicam que, em alguns casos, a mamografia isolada pode não ser suficiente para todas as mulheres.
Quando o laudo indica mamas densas (BI-RADS C ou D), exames complementares podem ser indicados.
🧬 1. Tomossíntese Mamária (Mamografia 3D)


A tomossíntese mamária é realizada em equipamentos semelhantes ao mamógrafo convencional, porém com tecnologia tridimensional, permitindo a análise da mama em múltiplos cortes e reduzindo significativamente a sobreposição de tecidos.
🔍 Como funciona?
A tomossíntese é uma evolução da mamografia tradicional:
- Reconstrói a mama em fatias finas
- Permite “olhar por dentro” do tecido
- Reduz a sobreposição de estruturas
✅ Vantagem principal
Maior capacidade de diferenciar:
- Tecido denso
- Nódulos reais
🩻 2. Ultrassonografia das Mamas

🔍 Por que complementar?
Na ultrassonografia:
- Nódulos aparecem escuros
- Tecido denso aparece claro
Isso cria contraste, reduzindo o risco de lesões ocultas.
📌 Quando é indicada?
- Mamas densas
- Mulheres mais jovens
- Diferenciação entre cistos e nódulos sólidos
🧲 3. Ressonância Magnética das Mamas


A ressonância magnética é o exame mais sensível disponível atualmente.
🔍 Como funciona?
- Utiliza campos magnéticos
- Emprega contraste intravenoso
- Detecta áreas com maior vascularização
📌 Indicação restrita
- Mulheres com altíssimo risco genético
- Mamas extremamente densas
- Planejamento cirúrgico após diagnóstico confirmado
🧪 4. Mamografia com Contraste
A mamografia com contraste é um recurso que vem despertando maior interesse em cenários específicos da imagem mamária. Ainda assim, ela não deve ser tratada como exame de rotina para todas as mulheres.
🔍 O diferencial
Esse método utiliza contraste iodado e pode contribuir na avaliação de determinadas áreas suspeitas, funcionando como exame complementar em casos selecionados.
🌸 2. Papanicolau: a principal defesa contra o câncer do colo do útero
📌 O que é?
O Papanicolau, também chamado de exame citopatológico, é o principal método de rastreamento do câncer do colo do útero.
🔍 Para que serve?
Ele identifica:
- Alterações celulares causadas pelo HPV
- Lesões pré-cancerígenas
- Alterações inflamatórias
Essas lesões podem ser tratadas antes de se tornarem câncer.
🧪 Como é realizado?
- Coleta durante exame ginecológico
- Uso de espátula e escova cervical
- Procedimento rápido
- Pode causar leve desconforto, sem dor intensa
📅 Frequência recomendada após os 40
- Geralmente anual
- Se dois exames consecutivos forem normais, pode ser espaçado para 3 anos, conforme histórico e testes de HPV disponíveis em 2026
🌺 3. Ultrassonografia Transvaginal
📌 O que é?
Exame de imagem que utiliza ondas sonoras para avaliar os órgãos pélvicos internos.
🔍 Para que serve?
Avalia:
- Útero (miomas, pólipos)
- Endométrio (espessura)
- Ovários (cistos, tumores)
É essencial na investigação de:
- Sangramentos irregulares
- Dor pélvica
- Alterações comuns no climatério
🧪 Como é realizado?
- Sonda fina e protegida
- Inserida no canal vaginal
- Exame indolor e rápido
- Imagens mais nítidas que a via abdominal
📅 Frequência após os 40
o ultrassom transvaginal não deve ser tratado como exame obrigatório anual de rastreamento oncológico para todas as mulheres sem sintomas. Ele é valioso na avaliação ginecológica e pode ajudar muito na investigação de alterações, mas não é um rastreamento universal para câncer de ovário em mulheres assintomáticas e de risco habitual. A USPSTF recomenda contra o rastreamento rotineiro do câncer de ovário em mulheres assintomáticas por qualquer método, incluindo ultrassom transvaginal.
Isso significa que o exame pode ter papel importante no check-up de muitas pacientes, mas sua indicação deve ser individualizada, levando em conta sintomas, histórico, exame clínico e decisão médica.
🧑⚕️ Qual médico procurar?
- Ginecologista → acompanhamento central da saúde feminina, solicitação de exames e investigação de sintomas.
Mastologista → avaliação de alterações mamárias, nódulos, laudos suspeitos ou acompanhamento especializado das mamas.
Oncologista → acompanhamento em casos confirmados ou fortemente suspeitos.
📌 Orientações finais
A melhor prevenção não é baseada em pânico, mas em informação confiável, acompanhamento médico e escolhas bem orientadas. Muitas mulheres pesquisam quais exames fazer após os 40, qual exame detecta câncer feminino, check-up feminino completo e ultrassom transvaginal detecta câncer. Essas buscas são legítimas, mas a resposta correta quase nunca é uma lista fixa igual para todas.
Na prática, existe diferença entre exame de rastreamento, exame complementar e exame solicitado para investigar sintomas. Entender isso evita dois erros comuns: o descuido e o excesso. A prevenção bem feita é aquela que respeita a ciência, o contexto clínico e a individualidade da mulher.
❓ Perguntas Frequentes sobre Check-up Feminino Após os 40
O ultrassom transvaginal substitui o Papanicolau?
Não. O ultrassom transvaginal e o Papanicolau têm funções diferentes. O Papanicolau avalia alterações celulares do colo do útero, enquanto o ultrassom analisa estruturas internas da pelve, como útero, endométrio e ovários. Eles são exames complementares, não equivalentes.
Mulheres com mamas densas precisam de mais exames?
Em alguns casos, sim. Mas isso não deve ser tratado como regra automática. A necessidade de exames complementares depende do laudo, da idade, do risco individual e da avaliação médica.
É possível ter câncer sem apresentar sintomas?
Sim. Alguns cânceres femininos podem evoluir de forma silenciosa no início, o que reforça a importância do rastreamento quando indicado e do acompanhamento ginecológico regular.
🎗️ Conclusão
A prevenção oncológica após os 40 anos deve ser entendida como uma estratégia de cuidado com a saúde, e não como excesso. Exames bem indicados podem ajudar a identificar alterações precocemente, direcionar melhor a investigação e ampliar a segurança no acompanhamento feminino.
Mamografia, avaliação das mamas densas, Papanicolau, teste de DNA-HPV e ultrassonografia transvaginal são temas muito buscados porque fazem parte das dúvidas reais das mulheres. O ponto central é simples: cada exame tem sua função, seus limites e sua indicação. Publicar essa informação com clareza é o que transforma o artigo em conteúdo útil de verdade.
📢 Aviso Importante ao Leitor
As informações apresentadas neste artigo têm caráter educativo e informativo e não substituem a consulta, o diagnóstico ou o acompanhamento médico individualizado. A realização de exames, a periodicidade e a interpretação dos resultados devem ser sempre definidas por um profissional de saúde qualificado, considerando o histórico clínico e as necessidades de cada mulher.
📌 Compartilhar informação também pode gerar acolhimento.
Caso este conteúdo tenha sido útil para você, fique à vontade para enviá-lo a pessoas que possam se beneficiar dessas informações. Informação de qualidade contribui para escolhas mais saudáveis no dia a dia.
Luly Rocha autora Mundo 40 Mais. Engenheira com formação em skincare. Saúde, pele, comportamento e bem-estar com base em fontes confiáveis para você escolher com autonomia.

